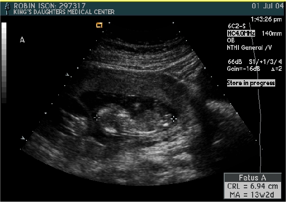
Baby A

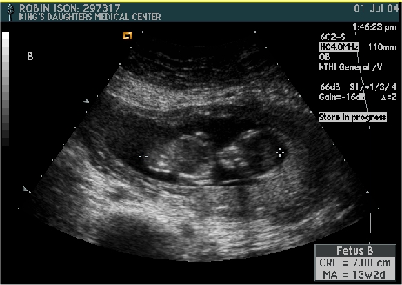
Baby B

Baby A or B - I am not sure.

Pictures from Ultrasound at 13 1/2 weeks.